Part 47
Article: Biotechnology My Blog Title: The world, from the past to the present, retold from the timelines.
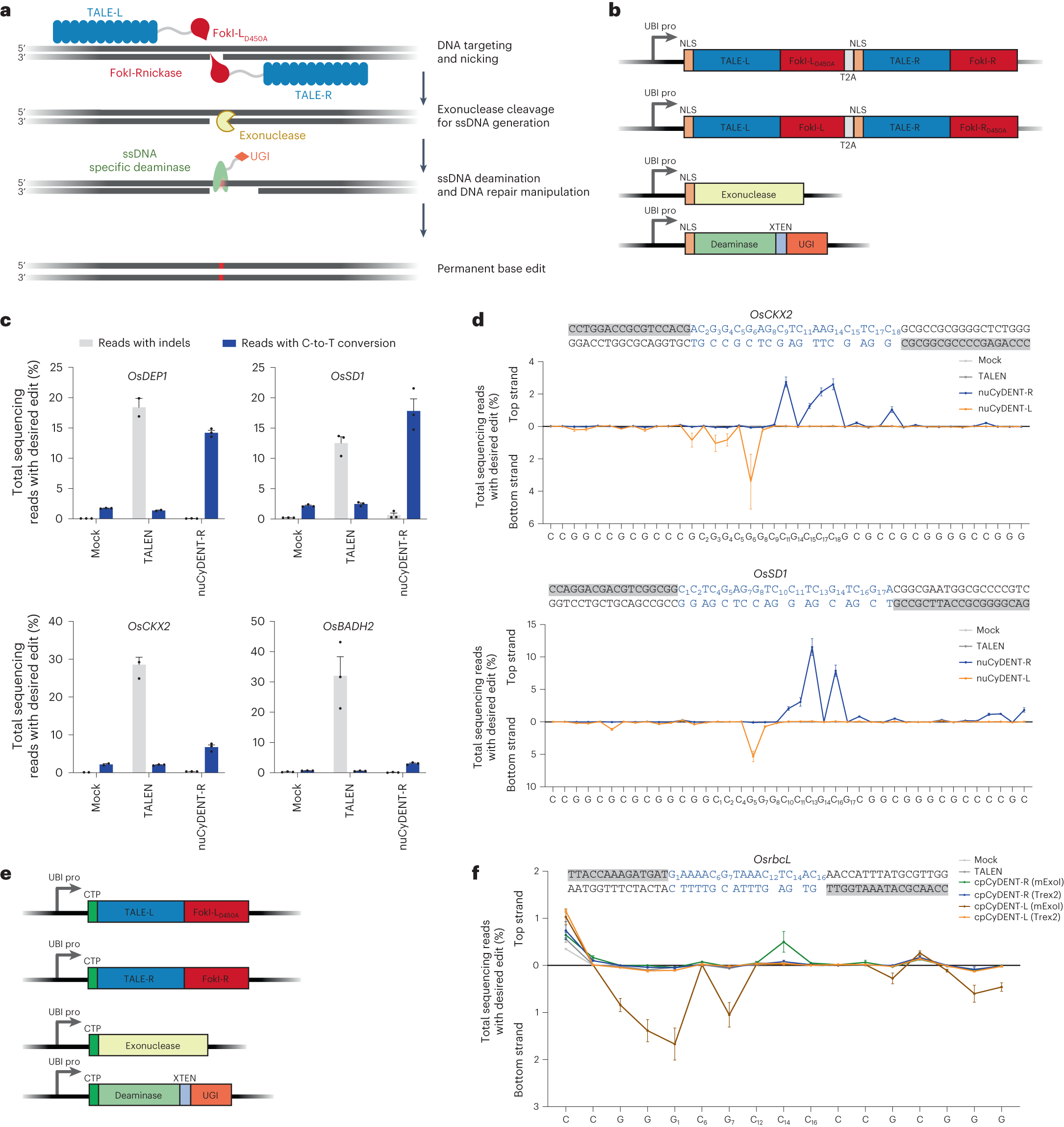
2023: [8.29] Notable innovations: CRISPR-freebase editing system without guide RNA that enabled also editing chloroplast and mitochondrial genomes with precision (CyDENT). In a study published in Nature Biotechnology on Aug. 28, GAO Caixia’s group at the Institute of Genetics and Developmental Biology of the Chinese Academy of Sciences and her collaborators at Qi Biodesign had reported a modular, CRISPR-free base editing system, which they called CyDENT, to achieve effective base editing in the nucleus, mitochondria and chloroplast genomes of plant and human cells. Genome editing enabled the efficient and precise modification of genetic information in living organisms, revolutionizing life science research as a whole. In recent years, the advent of base editing technology had made genome editing even more precise and predictable. David Liu’s lab at the Broad Institute and Harvard University had pioneered the development of base editing. Cas9 nickases composed of guide RNA and a mutant form of Cas9; single-stranded DNA abbreviated ssDNA; deaminase is an enzyme that acts on RNA molecules by converting adenosine (A) to inosine (I) in double-stranded RNA. By fusing a nickase Cas9 with ssDNA-specific deaminases, they had successively developed the cytosine base editor (CBE) and adenine base editor (ABE) systems, which allowed efficient C·G-to-T·A or A·T-to-G·C base conversions in the nuclear genome, respectively. DddAtox is the deaminase catalytic domain derived from Burkholderia cenocepacia. Burkholderia cenocepacia, a potentially deadly opportunistic pathogen has been appreciated for some time that this bacterium can survive within some professional phagocytes (i.e., macrophages and dendritic cells), and how the bacteria accomplish this feat is not well understood. A phagocyte is a type of white blood cell, a type of immune cell, that can surround and kill microorganisms, ingest foreign material such as bacteria, carbon, dust, or dye and remove dead cells. Macrophages are large, specialized cells in the immune system that recognize, engulf and destroy infecting or damaged cells. Dendritic cells are a family of antigen-presenting cells that are key regulators of immune tolerance and protection. Double stranded DNA is abbreviated “dsDNA”. DddA-derived cytosine base editor (DdCBE) enabled the precise manipulation of Mitochondrial DNA. Subsequently, they used a newly identified dsDNA-specific deaminase, DddAtox, to develop DdCBE, which enables efficient C·G-to-T·A in organellar genomes. In general, plants harbor two different organelle genomes (mitochondria and chloroplasts). In addition to the nuclear genome, the organelle genome contains genes related to the growth and development of species. Jin-Soo Kim’s lab built on DdCBE to develop TALED to achieve A·T-to-G·C base editing in mitochondrial genomes. However, due to the dsDNA deamination properties of DddAtox, the DdCBE and TALED systems generated additional unintended off-target edits. Mitochondrial DNA base editors is abbreviated (mitoBEs). Recently, WEI Wensheng's team at Peking University had developed DddAtox-independent base editors, called mitoBEs, which improved the precision of mitochondrial base editing. Transcription-activator-like effector is abbreviated (TALE). FokI is a member of an unusual class of restriction enzymes that recognize a specific DNA sequence and cleave nonspecifically a short distance away from that sequence. In this study, according to GAO, CyDENT consisted of a pair of TALEs fused to a FokI nickase, a single-strand specific cytidine deaminase, an exonuclease and a uracil glycosylase inhibitor peptide. Primarily, exonucleases play a critical role in the maintenance of genomic material, as most DNA repair pathways rely on an exonuclease to excise damaged nucleotides (e.g., nucleotide excision repair, double-strand break (DSB) repair, base excision repair). Uracil-DNA glycosylase is a critical DNA repair enzyme that is well conserved and ubiquitous in nearly all life forms. Uracil-DNA glycosylase protects genomic information integrity by catalyzing the excision from DNA of uracil nucleobases resulting from misincorporation or spontaneous cytosine deamination.
SOURCE COMPOSITION
PC Software
APP: AppStore PlayStore
In-text voice
[Text Reader - Text to Speech
Transkriptor]
[Odify - PDF Speaker and Reader
Tool Apps Hub]
[Read Aloud AI - Text to Speech
Mapache Dev]
[aiReader: AI Text to Speech
King Clover Studio]
[TTS Reader - Text To Speech withtheflow01]
MP4 to MP3
[Unlimited MP3 Audio Merger
Ambition Technologies]
MP3 tag and album art maker
[MusicBrainz Picard]
[MP3TAG The universal tag editor.]
MP3 volume-increase conversion
[MP3 Audio Gain and Equalizer]
[Super Sound Editor: Music Audio Editor, MP3 Cutter]
Photo maker for album art cover
[InCollage - Collage Maker Pic Collage,Photo Editor,
Grid SHANTANU PTE. LTD.]
[Social Media Post Maker stylish app world Art & Design]
[Compress Image Size in KB&MB Zilory app]
Music Sources and Titles: Pixabay
[Content composition of “In-Brief Archives Facebook Page” and of my blogger page “www.ilovemytimeoranothertimeofyours.blogspot.com” in sound and music does not represent the pictures, videos and text contents.] [Music volume is increased if deviated from the actual files.]
[childish-and-quirky-comedy-ending-15-sec-384138]
[bumbling-280231]
[comedy-serial-115270]
[funny-pranks-funny-comedy-203668]
[dramatic-background-music-for-video-vlog-1-minute-205321]
[quirky-comedy-documentary-155583]
Picture sources: Peakpx.com and Pexels, Pixabay in PowerDirector and other websites:
1:https://scx2.b-cdn.net/gfx/news/hires/2023/scientists-develop-nov-6.jpg
3:https://ars.els-cdn.com/content/image/3-s2.0-B9780128187081000038-f-03-9780128187081.jpg
4:https://imagebank.hematology.org/getimagebyid/64620?size=3
5:https://imagebank.hematology.org/getimagebyid/63659?size=3
6:https://imagebank.hematology.org/getimagebyid/65116?size=3
16:https://www.mdpi.com/ijms/ijms-22-11435/article_deploy/html/images/ijms-22-11435-g001.png
17:https://www.genomicseducation.hee.nhs.uk/genotes/wp-content/uploads/2022/06/RNA_DNA-RNA.png
19:https://media.springernature.com/full/springer-static/cover-hires/book/978-1-0716-3702-9
20:https://blog.addgene.org/hs-fs/hubfs/Picture1.jpg?width=1430&height=424&name=Picture1.jpg
21:https://3ubiostudyguide.weebly.com/uploads/4/4/6/5/44651279/333776006.png
23:https://psu.pb.unizin.org/app/uploads/sites/159/2019/04/image20-3.jpeg
24:https://images.newscientist.com/wp-content/uploads/2004/04/24425301.jpg
25:https://pbs.twimg.com/media/DQER5R9XUAAvNTA?format=jpg&name=small
27:https://iiif.elifesciences.org/lax/62967%2Felife-62967-fig3-figsupp3-v3.tif/full/full/0/default.jpg
28:https://pmc.ncbi.nlm.nih.gov/articles/PMC6775713/
29:https://i.ytimg.com/vi/C5nAg31efbk/sddefault.jpg
30:https://pbs.twimg.com/media/EnIGbCNWEAU-kzr.jpg
31:https://clipart4school.com/wp-content/uploads/2023/06/human-cell-clipart-preview.jpg
32:http://english.genetics.cas.cn/ns/icn/201507/W020150728596226696250.jpg
33:https://pbs.twimg.com/media/FTrpaYlWIAEypp9?format=jpg&name=small
37:https://i.ytimg.com/vi/ONs9FCY74p0/maxresdefault.jpg
41:https://www.mdpi.com/ijms/ijms-24-05798/article_deploy/html/images/ijms-24-05798-g003.png
42:https://basicmedicalkey.com/wp-content/uploads/2016/11/image10235-2.jpeg
43:https://www.genome.gov/sites/default/files/media/images/tg/Mitochondrial-DNA.jpg
44:https://ars.els-cdn.com/content/image/1-s2.0-S1359734523026241-d3cc00962a-f1_lrg.jpg
45:https://life.sjtu.edu.cn/Assets/userfiles/images/%e5%9b%be%e7%89%872(24)(1).png
46:https://life.sjtu.edu.cn/Assets/userfiles/images/%e5%9b%be%e7%89%877(7)(1).png
48:https://pbs.twimg.com/media/FRM1lVGXIAUBYNz.jpg:large
49:https://www.ibs.re.kr/dext5data/2017/03/20170322_180700766_77879.jpg
53:https://www.mdpi.com/cells/cells-11-02157/article_deploy/html/images/cells-11-02157-g001.png
Video Sources: Pexels and Pixabay in PowerDirector and other websites:
57:https://www.pond5.com/stock-footage/item/280795465-structure-plant-cell
58:https://www.pond5.com/stock-footage/item/277294896-nucleus-and-chromatin-material-cell
59:https://www.pond5.com/stock-footage/item/250011302-isolated-moving-chloroplast-organelles
62:https://www.pond5.com/stock-footage/item/38951879-double-stranded-dna
63:https://www.pond5.com/stock-footage/item/305164368-bacillus-bacteria
64:https://www.pond5.com/stock-footage/item/43088242-phagocyte-and-virus
65:https://www.pond5.com/stock-footage/item/43088409-phagocyte-and-virus
68:https://www.pond5.com/stock-footage/item/63396607-macrophage-s-large-white-blood-cell-3d-animation
69:https://www.pond5.com/stock-footage/item/68900160-macrophage-ts
70:https://www.pond5.com/stock-footage/item/63526235-macrophage-s-large-white-blood-cell-3d-animation
71:https://www.pond5.com/stock-footage/item/63398172-immune-response
74:https://www.pond5.com/stock-footage/item/178656429-macrophage-devouring-cancer-cell
75:https://www.pond5.com/stock-footage/item/44563020-macrophage-under-microscope
79:https://www.pond5.com/stock-footage/item/44333089-cells-capillary
80:https://makeagif.com/amp/l45NM0
81:https://www.shutterstock.com/video/clip-3847126019-crispr-cas9-gene-editing-labeled
82:https://www.pond5.com/stock-footage/item/178537734-crispr-cas-9-cutting-dna
84:https://www.pond5.com/stock-footage/item/260119731-bacillus-bacteria
85:https://www.pond5.com/stock-footage/item/260118616-gram-positive-and-gram-negative-bacteria
88:https://www.pond5.com/stock-footage/item/277294454-animal-cell-and-plant-cell
89:https://www.pond5.com/stock-footage/item/43058283-protein-structure-dna
90:https://www.pond5.com/stock-footage/item/178504878-enzyme-molecular-structure-animation
91:https://www.pond5.com/stock-footage/item/285561483-enzymes
92:https://www.pond5.com/stock-footage/item/43059312-restriction-enzymes
94:https://www.pond5.com/stock-footage/item/307442823-crispr-cas-complex-binding-dna-spin-black
95:https://www.shutterstock.com/video/clip-3844990959-dna-animated-background-medical-motion-graphics
Consulted References:
Refer to Part 3 for all consolidated references for all parts.


Comments
Post a Comment